Can’t chew your favorite foods?

A loose lower denture can be a real pain, but it doesn’t have to be your reality.

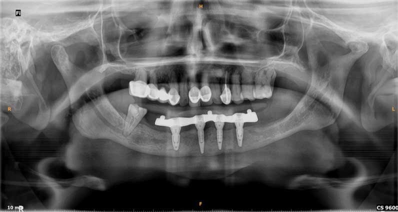
Patient ‘Monica Chawla‘ came to us at Indiadens dental clinic in South Delhi, unable to eat properly for a long time. Dr. Ujjwal Gulati rehabilitated her with implant-supported teeth, giving her a new lease on life. Now, she’s happily eating the foods she loves and is thrilled with her new, confident smile.
She shares her treatment experience
If you’re struggling with loose dentures, it’s time to discover a permanent solution.












